Ben benieuwd wat de betekenis is van de onderste verslag - Beantwoord -

25-04-2024 om 16:23 uur

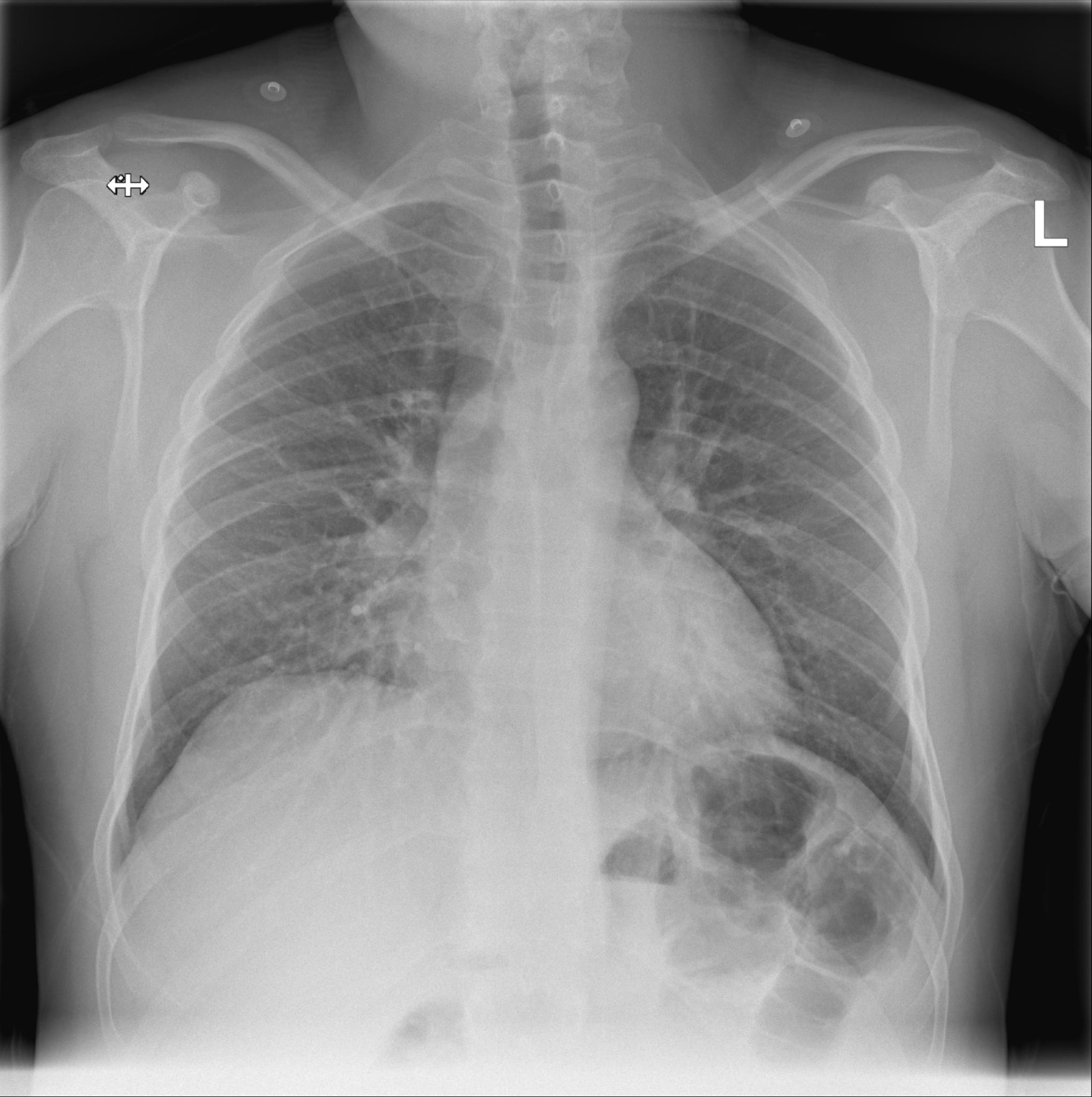
Scherp afgrensbaar diafragmakoepel. Heldere sinus pleura. Slank mediastinum superior. Hili opgebouwd uit bronchovasculaire structuren. Corfiguur binnen de norm. Longvaattekening binnen de norm. Geen circumscripte consolidaties. Echter matig afgrensbaar rechter harthelft. Afgebeeld bovenbuik zonder bijzonderheden. Skelet zonder relevante nevenbevindingen. Conclusie: Geen circumscripte consolidaties. Echter matig afgrensbaar rechter harthelft, beginnende consolidatie middenkwab niet uit te sluiten.

Moderator
27-04-2024 om 15:15 uur

Goedemiddag, het is denk het beste om dit gewoon met je behandelend arts te bespreken. Die heeft toch ook de opdracht voort de foto gegeven? Vriendelijke groet, Bert

Login of registreer om te reageren
Zorgprofessional
29-04-2024 om 17:26 uur

Bert heeft wel gelijk. Voor nu kan ik zeggen dat de foto dus als normaal wordt afgegeven met als enige bijzonderheid dat de rechter zijde van het hart niet scherp is te zien. Daar ligt de middelste van de 3 rechter  longkwabben tegen aan en misschien zit daar een kleine ontsteking. Het kan ook zijn dat er niks aan de hand is. Het mooist  zou zijn als er eerder al eens een foto is gemaakt om te vergelijken. Maar bespreek  het dus met je arts.

Login of registreer om te reageren
29-04-2024 om 19:49 uur
Reactie op Luuk Willems_arts

Bert heeft wel gelijk. Voor nu kan ik zeggen dat de foto dus als normaal wordt afgegeven met als enige bijzonderheid dat de rechter zijde van het hart niet scherp is te zien. Daar ligt de middelste van de 3 rechter  longkwabben tegen aan en misschien zit daar een kleine ontsteking. Het kan ook zijn dat er niks aan de hand is. Het mooist  zou zijn als er eerder al eens een foto is gemaakt om te vergelijken. Maar bespreek  het dus met je arts.

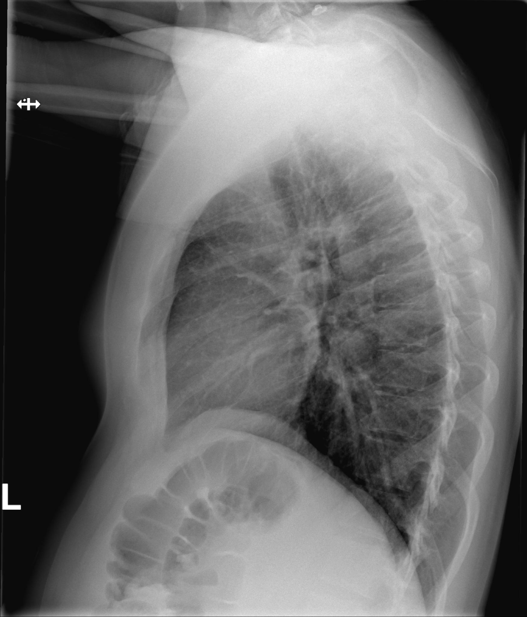
Beste Luuk, bedankt voor je snelle reactie. ik heb helaas geen foto die eerder is gemaakt, wel heb ik een foto van de zijkant die de zelfde tijd is gemaakt.

Login of registreer om te reageren