Meerdere klaplongen - Beantwoord -

12-10-2023 om 00:50 uur

Helaas heb ik van 15 tm 27 meerdere klaplongen gehad zowel links als rechts. Rechts geplakt 60% en links VATS operatie. Nu al jaren gelukkig zonder problemen. Behalve pijn soms pijnlijk. Sinds n paar weken al n paar X gedacht dat m’n rechter long zou klappen. Pijnlijk aan de bovenzijde van de long. Nu vooral pijn bij onderste ribben. Mss gekke vraag: maar kan n long ook vanuit de onderkant inklappen als de top vastzit ??

Login of registreer om te reageren
Zorgprofessional
12-10-2023 om 13:43 uur

Jazeker, 

de long plakt als het ware als een soort "glas op een nat aanrecht" vast aan de binnenkant van de ribbenkast. De binnenkant hiervan is namelijk glad en staat dan in nauw contact met het longoppervlak met een dun laagje vloeistof ertussen.

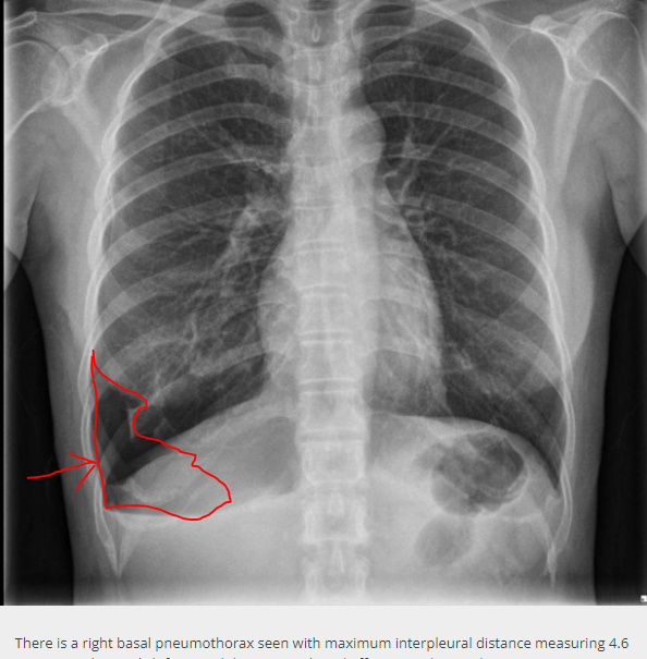
Natuurlijk kan de onderkant los gaan liggen als de bovenkant door de eerdere ingrepen wel vast blijft zitten. Voorbeeld zie je in de bijlage (gewoon van internet geplukt)

 

Groet, Peter van Tilburg

 

 

Login of registreer om te reageren