Uitleg conclusie radiologie - Beantwoord -

25-08-2023 om 08:57 uur

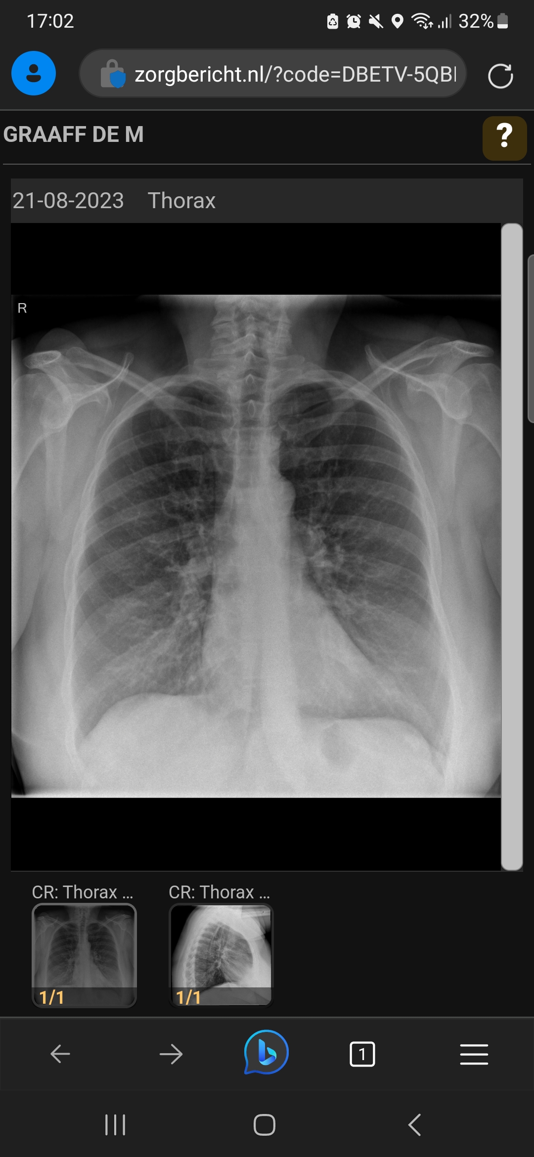
Versterkte tekening bibasaal, rechts meer dan links, DD infiltratief, advies controle na eventueel behandeling over 4-6 weken .

Ik zou hIer graag wat uitleg bij krijgen 

Er i's mij niets over gezegd verder 

Alvast bedankt 

Zorgprofessional
06-09-2023 om 19:56 uur

Beste

Versterkte tekening beiderzijds basaal kan te maken hebben met hartfalen, met een ziekte van het longweefsel zelf of soms een infectie. Soms is er een drogbeeld bij vrouwen door het borstweefel. Als ik de foto zie lijkt me er niets aan de hand, al kijk ik niet met hulp van een mooie radiologie monitor. Je eigen arts zal dit kunnen ophelderen tegen het licht van de reden waarom de foto is gemaakt

 

Login of registreer om te reageren
26-01-2024 om 09:17 uur

 

Beste,

Corronaire CT Scan

Bij mijn bevindingen staat : 

In het meegescande deel van de thorax is er declieve dysaeratie beiderzijds basaal. 

(ik heb ook ernstig hooggradig verkalkte atheromatose aan 1e diagonaaltak LAD en mid-LAD, Forse blooming artefacten.)

Wat betekent dit juist ?

Login of registreer om te reageren
Moderator
26-01-2024 om 16:53 uur

Hi Marian

Op een beantwoord topic word niet meer gereageerd door een arts als je een specifieke vraagt hebt kan je het beste een nieuw topic openen

 

Fijn weekend!

Login of registreer om te reageren